
Servicios de Neumología
Procedimientos especializados
Como neumólogo especialista en Tuxtla Gutiérrez, Chiapas, ofrezco una gama de procedimientos diagnósticos y terapéuticos para el manejo integral de enfermedades pulmonares y alergias respiratorias.

Espirometría dinámica y forzada
Estudio no invasivo que analiza la capacidad respiratoria mediante soplido en un tubo conectado a un espirómetro.

Biopsia pulmonar
Obtención de tejido pulmonar mediante aguja o broncoscopio para análisis patológico.

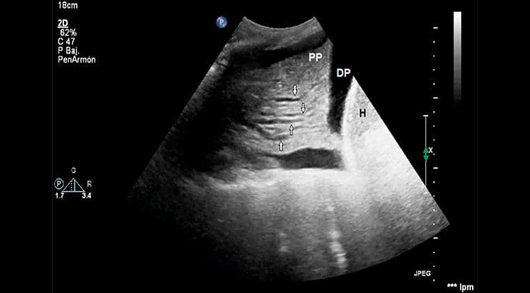
Ultrasonido pulmonar
Estudio seguro que usa ondas sonoras para visualizar pulmones y pleura.



Nebulización
Administración de fármacos broncodilatadores o antiinflamatorios mediante aerosol.

Drenaje y aspiración torácica
Colocación de tubo pleural para drenar aire o líquido patológico.

Oximetría y evaluación de oxigenación
Sensor en el dedo que monitorea oxigenación en segundos.

Estudios del sueño (Poligrafía y CPAP)
Monitoreo nocturno de respiración, oxigenación y ronquidos.

Broncoscopia diagnóstica y terapéutica
Estudio que permite examinar las vías respiratorias mediante un broncoscopio flexible.

Valoración y seguimiento post-COVID-19
Detección temprana de fibrosis pulmonar, control de síntomas persistentes y prevención de complicaciones.

Terapia inhalada personalizada
Mejora el control de síntomas con inhaladores adecuados y técnica correcta.

Interconsulta para preoperatorio pulmonar
Revisión clínica, espirometría y radiografía de tórax para optimizar el estado pulmonar antes de cirugía.

Rehabilitación pulmonar
Mejora tu capacidad respiratoria y bienestar con un plan terapéutico personalizado.

