
Ultrasonido pulmonar
Ultrasonido pulmonar
Información detallada sobre el servicio
Todos los Servicios
Espirometría dinámica y forzadaBiopsia pulmonarUltrasonido pulmonarToracocentesisPleurodesisNebulizaciónDrenaje y aspiración torácicaOximetría y evaluación de oxigenaciónEstudios del sueño (Poligrafía y CPAP)Broncoscopia diagnóstica y terapéuticaValoración y seguimiento post-COVID-19Terapia inhalada personalizadaInterconsulta para preoperatorio pulmonarRehabilitación pulmonar

Dr. Fernando Daniel Rincón León
961 299 2674
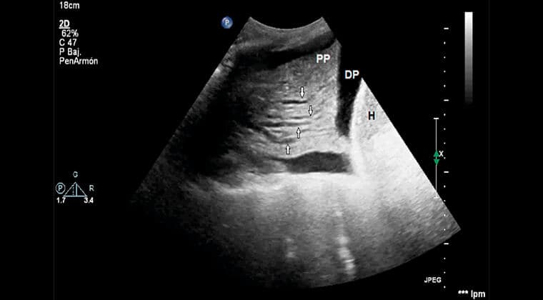
¿Dolor al respirar o sospecha de neumonía? Un ultrasonido pulmonar ofrece diagnósticos rápidos y precisos. Agenda con el Doctor Fernando Daniel Rincón León en Tuxtla Gutiérrez.

Descripción
Técnica de imagen no invasiva que evalúa patologías pulmonares y pleurales en tiempo real. Ideal para diagnosticar derrames pleurales, neumonías o edema pulmonar sin radiación.
Beneficios
- Sin radiación (ideal para niños y embarazadas)
- Resultados inmediatos
- Detecta líquido, consolidaciones o colapso pulmonar
¿Es doloroso?
No, solo se aplica gel sobre la piel.
¿Para qué sirve?
Diagnosticar neumonía o derrame pleural y guiar punciones pleurales.
Mitos
- Es menos preciso que una radiografía
¿Hospitalario o Ambulatorio?
Ambulatorio.
Tiempo del Procedimiento
15-20 minutos.
Anestesia
No requiere.
Tiempo de Recuperación
Inmediata.

